× Information! For Token Number and Appointments, after 12 PM call us- 9597379991

2.Cosmetic Dentistry

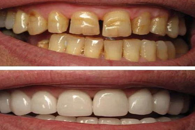
You never get a second chance to make a first impression. Improving your smile through cosmetic dentistry can be one of the most effective ways of improving your appearance. Dentistry has advanced significantly in recent times, which means you do not have to compromise the aesthetics of your smile. If you have stained, uneven, or malformed teeth, there are plenty of pain-free and affordable cosmetic dentistry procedures that will help you attain a beautiful smile.



Some of these cosmetic dentistry procedures include, but are not limited to:

  • Teeth Whitening.

  • Replacing old metal fillings with tooth coloured fillings.

  • Braces or Invisalign.

  • Laminates & Veneers.

  • All Ceramic Crowns.

  • Composite Veneers.

  • Smile Design.

  • Tooth Jewellery.

  • Smile Enhancement.